2021-12-15
Nuevo Mundo – 96.1
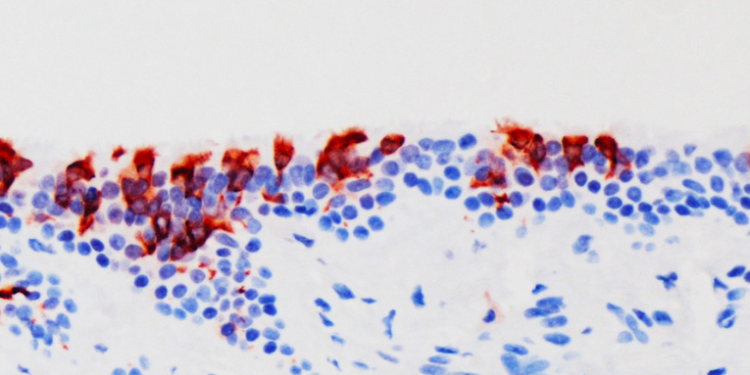
La variante ómicron del covid-19 contagia y se multiplica 70 veces más rápido en los bronquios humanos que la delta y que el virus original del SARS-CoV-2, comunicó este miércoles un equipo de investigación dirigido por científicos de la Universidad de Hong Kong (China). Según señalaron los especialistas, el hallazgo puede explicar por qué la ómicron puede transmitirse con mayor rapidez que las variantes anteriores.El estudio, que se encuentra actualmente en fase de revisión por pares para su publicación, también mostró que la infección provocada por la nueva variante en los pulmones es significativamente menor que la de la original, lo que puede ser un indicador de una menor gravedad de la enfermedad.Sin embargo, el doctor Michael Chan Chi-wai, investigador principal del Centro de Inmunología e Infección del Parque Científico y Tecnológico de Hong Kong, explicó que «la gravedad de la enfermedad en los seres humanos no está determinada únicamente por la replicación del virus, sino también por la respuesta inmunitaria del huésped a la infección, que puede conducir a una desregulación del sistema inmunitario innato, es decir, a una ´tormenta de citoquinas´».También detalló que, «al contagiar a muchas más personas, un virus muy infeccioso puede causar una enfermedad más grave y la muerte, aunque el propio virus sea menos patógeno». «Por lo tanto, junto con nuestros recientes estudios que demuestran que la variante ómicron puede escapar parcialmente a la inmunidad de las vacunas y a la infección anterior, es probable que la amenaza global de la variante ómicron sea muy importante», concluyó.¿Cómo se hizo el descubrimiento?Para llevar a cabo el estudio, el doctor Chan y John Nicholls, catedrático del Departamento de Patología de la Universidad de Hong Kong, aplicó un método que su equipo ha utilizado desde 2007 para investigar muchas infecciones víricas emergentes, como la gripe aviar y el coronavirus del síndrome respiratorio de Oriente Medio (MERS). Ahora esta técnica se ha usado para entender por qué la variante ómicron puede diferir de otras variantes del SARS-CoV-2 en cuanto a transmisión y gravedad de la enfermedad.Este método utiliza el tejido pulmonar extraído para el tratamiento del pulmón, que normalmente se desecha, para investigar las enfermedades víricas de las vías respiratorias. El equipo de científicos aisló con éxito la variante ómicron y utilizó este modelo experimental para comparar su infección con la del coronavirus original del 2020 y con la variante delta.Los investigadores descubrieron que la ómicron se replica más rápidamente en el bronquio humano que otras variantes. A las 24 horas de la infección, la nueva variante se replicaba unas 70 veces más que la delta y el virus SARS-CoV-2 original. En cambio, la ómicron se replicó con menos eficacia (más de 10 veces menos) en el tejido pulmonar, lo que puede sugerir una menor gravedad de la enfermedad.
La variante ómicron del covid-19 contagia y se multiplica 70 veces más rápido en los bronquios humanos que la delta y que el virus original del SARS-CoV-2, comunicó este miércoles un equipo de investigación dirigido por científicos de la Universidad de Hong Kong (China). Según señalaron los especialistas, el hallazgo puede explicar por qué la ómicron puede transmitirse con mayor rapidez que las variantes anteriores.
El estudio, que se encuentra actualmente en fase de revisión por pares para su publicación, también mostró que la infección provocada por la nueva variante en los pulmones es significativamente menor que la de la original, lo que puede ser un indicador de una menor gravedad de la enfermedad.
Sin embargo, el doctor Michael Chan Chi-wai, investigador principal del Centro de Inmunología e Infección del Parque Científico y Tecnológico de Hong Kong, explicó que «la gravedad de la enfermedad en los seres humanos no está determinada únicamente por la replicación del virus, sino también por la respuesta inmunitaria del huésped a la infección, que puede conducir a una desregulación del sistema inmunitario innato, es decir, a una ´tormenta de citoquinas´».
También detalló que, «al contagiar a muchas más personas, un virus muy infeccioso puede causar una enfermedad más grave y la muerte, aunque el propio virus sea menos patógeno». «Por lo tanto, junto con nuestros recientes estudios que demuestran que la variante ómicron puede escapar parcialmente a la inmunidad de las vacunas y a la infección anterior, es probable que la amenaza global de la variante ómicron sea muy importante», concluyó.
¿Cómo se hizo el descubrimiento?
Para llevar a cabo el estudio, el doctor Chan y John Nicholls, catedrático del Departamento de Patología de la Universidad de Hong Kong, aplicó un método que su equipo ha utilizado desde 2007 para investigar muchas infecciones víricas emergentes, como la gripe aviar y el coronavirus del síndrome respiratorio de Oriente Medio (MERS). Ahora esta técnica se ha usado para entender por qué la variante ómicron puede diferir de otras variantes del SARS-CoV-2 en cuanto a transmisión y gravedad de la enfermedad.
Este método utiliza el tejido pulmonar extraído para el tratamiento del pulmón, que normalmente se desecha, para investigar las enfermedades víricas de las vías respiratorias. El equipo de científicos aisló con éxito la variante ómicron y utilizó este modelo experimental para comparar su infección con la del coronavirus original del 2020 y con la variante delta.
Los investigadores descubrieron que la ómicron se replica más rápidamente en el bronquio humano que otras variantes. A las 24 horas de la infección, la nueva variante se replicaba unas 70 veces más que la delta y el virus SARS-CoV-2 original. En cambio, la ómicron se replicó con menos eficacia (más de 10 veces menos) en el tejido pulmonar, lo que puede sugerir una menor gravedad de la enfermedad.




