2024-05-04
Nuevo Mundo – 96.1
Médicos del Hospital Turco Somalí de Formación e Investigación, en Mogadiscio, Somalia, atendieron recientemente a un hombre de 50 años, que sobrevivió después de experimentar insuficiencia multiorgánica grave, debido a las picaduras que sufrió en un «ataque masivo» de un enjambre de abejas.Falla multiorgánicaLos médicos señalaron que el hombre recibió múltiples picaduras durante la recolección de miel en una zona rural del sur del país. Lo médicos subrayan que «curiosamente, a pesar de que el paciente sufrió numerosas picaduras y recibió una cantidad sustancial de veneno, no se produjo una reacción anafiláctica inmediata». En lugar de ello, «surgió una respuesta severa retrasada que condujo a una falla multiorgánica dentro de las 48 horas posteriores al incidente», explicaron.Los doctores también indicaron que, debido a la falta de instalaciones sanitarias en su localidad, el hombre tardó una semana en ser trasladado a un hospital de la capital. Además, puntualizaron que, en el momento de su llegada a urgencias, estaba consciente, pero observaron que tenía múltiples lesiones en todo el cuerpo. Los resultados de los análisis clínicos y de laboratorio revelaron varias condiciones bioquímicas críticas en hígado y páncreas y una lesión renal aguda. Además, una radiografía de tórax mostró un edema pulmonar.RecuperaciónLos especialistas relataron que el paciente respondió positivamente a cada uno de los tratamientos y mostró una mejoría significativa. Indicaron que fue dado de alta al séptimo día de su ingreso y luego continuó su exitosa recuperación.Explicaron que el veneno liberado por las picaduras de abejas melíferas puede oscilar entre 50 y 140 µg por picadura, lo cual es una cantidad bastante significativa que puede causar daño sistémico. De esta forma, destacaron la gravedad potencial de las picaduras de abejas y subrayaron que, «aunque a menudo se consideran menores, pueden provocar complicaciones médicas graves».
Médicos del Hospital Turco Somalí de Formación e Investigación, en Mogadiscio, Somalia, atendieron recientemente a un hombre de 50 años, que sobrevivió después de experimentar insuficiencia multiorgánica grave, debido a las picaduras que sufrió en un «ataque masivo» de un enjambre de abejas.
Los médicos señalaron que el hombre recibió múltiples picaduras durante la recolección de miel en una zona rural del sur del país. Lo médicos subrayan que «curiosamente, a pesar de que el paciente sufrió numerosas picaduras y recibió una cantidad sustancial de veneno, no se produjo una reacción anafiláctica inmediata». En lugar de ello, «surgió una respuesta severa retrasada que condujo a una falla multiorgánica dentro de las 48 horas posteriores al incidente», explicaron.
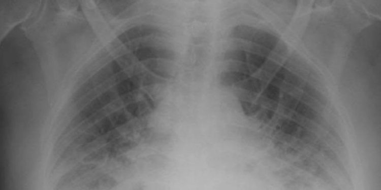
Los doctores también indicaron que, debido a la falta de instalaciones sanitarias en su localidad, el hombre tardó una semana en ser trasladado a un hospital de la capital. Además, puntualizaron que, en el momento de su llegada a urgencias, estaba consciente, pero observaron que tenía múltiples lesiones en todo el cuerpo. Los resultados de los análisis clínicos y de laboratorio revelaron varias condiciones bioquímicas críticas en hígado y páncreas y una lesión renal aguda. Además, una radiografía de tórax mostró un edema pulmonar.
Los especialistas relataron que el paciente respondió positivamente a cada uno de los tratamientos y mostró una mejoría significativa. Indicaron que fue dado de alta al séptimo día de su ingreso y luego continuó su exitosa recuperación.
Explicaron que el veneno liberado por las picaduras de abejas melíferas puede oscilar entre 50 y 140 µg por picadura, lo cual es una cantidad bastante significativa que puede causar daño sistémico. De esta forma, destacaron la gravedad potencial de las picaduras de abejas y subrayaron que, «aunque a menudo se consideran menores, pueden provocar complicaciones médicas graves».




